원광대학교병원(원장 서일영)이 지난 15일(목) 문화센터 5층 회의실에서 부서 주도의 감염관리 예방 활동을 시행하고 활동을 마무리 짓는 I-파트너(Partners) 워크숍을 개최했다고 밝혔다. 원광대학교병원 감염관리실은 지난 2024년 부서 주도의 자율적 실천 모델인 ‘I-Partners(Infection control Partners, I-Partners) 시범사업을 운영해 본 결과, 감염관리 인식 제고 및 부서 내 자율적 실천 분위기를 조성하기 위해 2025년에는 운영 체계를 정비하고 적용 부서를 확대하여 현장 중심의 감염관리 문화 정착을 목표로 I-Partners 사업을 지속적으로 추진하고 이날 워크숍을 열었다. I-파트너(Partners)란 감염관리에 대한 직원의 인식 향상과 자율적 참여 유도, 감염관리의 조직문화 조성, 의료인들의 행동 변화 수행으로 환자 안전의 신뢰도 함양을 위해 기획된 감염관리 파트너이다. 이날 워크숍은 부서 주도의 자율적인 감염예방관리 활동을 통해 실천 중심의 감염관리 문화를 정착, 구성원의 인식과 참여를 높여 조직의 감염예방 역량을 강화하고, 현장 맞춤형 개선과제 수행과 우수사례 공유를 통해 지속 가능한 활동 체계를 구축하려는
아주대병원(병원장 조재호)은 지난 16일, 별관대강당에서 소아전문응급의료센터 개소 1주년 기념식을 열고 지난 1년간의 운영 성과를 공유했다. 이날 기념식에는 이중규 보건복지부 공공보건정책관, 김성중 경기도 부지사, 김현수 수원특례시 부시장, 이재식 수원특례시의회 의장, 최기주 아주대학교 총장을 비롯한 관계자들이 참석했으며, 행사는 ▲경과보고 ▲의료원장 기념사 ▲총장 격려사 ▲축사 ▲기념 촬영 순으로 진행됐다. 아주대병원 소아전문응급의료센터는 2024년 12월 개소 이후 소아응급세부전문의와 전문 간호 인력이 24시간 365일 상주하는 진료 체계를 바탕으로 경기 남부권 소아중증응급환자를 책임지고 있다. 그 결과, 비상진료체계 기여도 평가에서 3회 연속 최고등급인 A등급을 획득했으며, 보건복지부 통계 기준 내원 환자 수 전국 2위, 중증도 치료 실적 전국 1위를 기록하는 등 경기 남부권 약 66만 명의 소아청소년 인구를 뒷받침하는 핵심 소아응급의료기관으로 자리매김했다. 한상욱 의료원장은 기념사를 통해 “소아전문응급의료센터는 개소 이후 지난 1년간 의료진과 구성원들의 전문성과 헌신적인 책임감을 바탕으로 경기 남부권 소아중증응급의료의 공백을 실질적으로 해소해 왔다”며
경희대병원(병원장 김종우)은 지난해 12월 29일(월), ‘2025년 임상의학연구소 우수연구자’ 시상식을 진행했다고 19일 밝혔다. 이번 시상식은 2025년 한 해 동안의 연구 실적을 종합적으로 평가하고 연구중심병원으로서의 역량 강화 및 의료진 연구 의욕 고취를 위해 마련됐다. 여승근 경희대병원 연구부원장 겸 임상의학연구소장(이비인후과)은 “우리 병원의 연구 역량과 미래 의학으로의 발전 가능성을 다시 한 번 확인하는 뜻깊은 자리”라며 수상자에게 축하의 말을 건넸다. 김종우 경희대병원장은 “강인한 생명력과 열정을 상징하는 병오년(丙午年) ‘붉은 말’의 해를 맞아 우리 연구 성과들이 의학 발전과 질병 없는 사회 구현으로 이어지길 바란다”며 “2025년 한 해 동안 끊임없이 연구에 정진해온 모든 분들에게 깊은 존경과 감사를 표한다”고 전했다. 분야별 수상자는 다음과 같다.▲대형과제 수주상 : 이비인후과 여승근 교수, 심장내과 김원 교수 ▲기술사업화상 : 내분비내과 이상열 교수, 정형외과 이성민 교수 ▲우수논문상 : 가정의학과 김선영 교수, 신경과 안태범 교수 ▲다수논문상 : 가정의학과 원장원 교수, 소아청소년과 김주희 교수 ▲우수연구원상 : 이재민 연구원
세브란스병원이 16일 청각장애 아동·청소년과 부모를 대상으로 진로특강 ‘드림 캐쳐’를 열었다. 이번 행사는 청각장애 아이들의 치료와 재활을 돕기 위해 세브란스병원과 KT, 사회복지공동모금회가 함께 운영하는 연세의료원 KT꿈품교실이 주관했다. ‘드림 캐쳐(dream catcher)’는 ‘꿈을 잡는 사람’이라는 의미로 청각장애가 있는 아동과 청소년들이 입시와 진로는 물론 성장 과정에서 느끼는 고민에 도움을 주고자 마련했다. 청각장애가 있지만 다양한 분야에서 활발하게 활동하고 있는 선배들의 경험과 조언을 들으며 장애에도 불구하고 폭넓은 진로 선택지를 이해하고 자신감을 키우는 것을 목표로 한다. 이날 행사에는 발레무용가이자 모델인 고아라 씨, KBS 국내 최초 청각장애인 앵커 노희지 씨, KT꿈품교실의 졸업생이자 볼링 코치로 활동하고 있는 최근 씨와 여러 기업에서 업무 경력을 쌓으며 다양한 사회활동을 하고 있는 홍은비 씨가 참여해 본인의 경험담을 나누고 후배들의 질문에 답하는 시간을 가졌다. 고아라 씨는 예술 관련 직업 탐색과 본인의 진로 경험을, 노희지 앵커는 방송 아나운서라는 직업에 대한 탐색과 어려움을 딛고 꿈을 이룬 과정을 전했다. 최근 씨와 홍은비 씨는 K
경희대학교 의과대학 연동건 교수 연구팀이 전 세계 204개국 데이터를 분석해 만성 호흡기질환의 질병 부담 변화와 코로나19 팬데믹의 영향을 세계 최초로 규명했다. 경희대학교(총장 김진상)는 의과대학 연동건 교수 연구팀(임예솔·김소은 연구원, 오지연 학생, 연세대 신재일 교수)이 만성 호흡기질환의 유병률과 사망률 변화를 장기간 분석한 연구 성과를 발표했다고 밝혔다. 이번 연구는 워싱턴대학교 보건계량평가연구소(IHME), 빌&멜린다 게이츠 재단, 하버드의대 등 전 세계 1,100여 명의 연구진이 참여한 대규모 국제 공동연구로 진행됐다. 연구팀은 1990년부터 2023년까지 전 세계 204개국의 빅데이터를 분석한 결과, 만성 호흡기질환 사망률은 약 25.7% 감소했지만 환자 수는 오히려 증가한 것으로 나타났다고 밝혔다. 2023년 기준 전 세계 약 5억 6,900만 명이 만성 호흡기질환을 앓고 있으며, 이 중 절반 이상은 천식 환자였다. 반면 사망의 대부분은 만성폐쇄성폐질환(COPD)에서 발생해 질환별 부담 양상이 크게 달랐다. 코로나19 팬데믹 이후에는 발생률이 소폭 증가한 반면, 사망률 감소 속도는 둔화된 것으로 분석됐다. 연구팀은 마스크 착용과 사회적
그동안 자가 줄기세포를 활용한 재생의료 치료를 원하는 일부 환자들은 일본·미국·동남아 등 해외 의료기관을 찾는 경우가 적지 않았다. 국내에서는 임상연구와 실제 치료 사이의 법적·절차적 장벽이 높아, 해외에서 이미 활용 중인 치료법이라 하더라도 즉각적인 도입이 쉽지 않았기 때문이다. 이 같은 흐름에 정부도 제도 완화 등 대책 마련에 나섰다. 보건복지부는 최근 첨단재생의료 제도를 완화해 해외 임상자료를 국내 치료계획 심의에 활용할 수 있도록 하고, 중·저위험 임상연구의 자료 제출 요건을 합리화하는 방안을 추진 중이다. 이는 해외로 향하던 치료 수요를 국내 의료체계 안으로 끌어들이겠다는 정책 방향으로 해석된다. 이런 변화는 재생의료 치료를 필요로 하는 환자뿐 아니라, 향후 치료 가능성에 대비하려는 일반인에게도 의미가 있다. 실제로 국내에서 적용 가능한 재생의료의 범위가 넓어질수록, 미리 줄기세포를 확보해 두는 '셀뱅킹(Cell Banking)'에도 관심이 쏠리고 있다. ◆국내 재생의료 문턱, 어떤 것이 낮아지는가 그동안 국내 재생의료 분야에서는 연구 성과가 실제 치료로 이어지기까지 상당한 간극이 존재해왔다. 해외에서 안전성과 유효성이 일정 수준 입증된 치료법이라
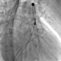
분당서울대병원(원장 송정한)이 지난 16일 ‘모야모야병 센터’ 개소식을 개최하고 본격 운영에 돌입한다고 밝혔다. 모야모야병 진단 및 치료를 위한 전담 센터의 개소는 국내외를 통틀어 최초인 것으로 알려졌다. 모야모야병은 뇌로 가는 주요 혈관이 좁아지면서 그 주변으로 비정상적인 혈관들이 발달하는 희귀 뇌혈관 질환이다. 뇌혈관 조영 검사에서 비정상 혈관들이 연기가 피어오르는 듯한 모습을 보인다고 해서, 일본어로 ‘모락모락’이라는 뜻의 '모야모야(もやもや)'라는 이름이 붙여졌다. 모야모야병은 제때 적절한 치료가 이뤄지지 않으면 뇌졸중이나 뇌출혈 등 심각한 합병증을 일으킬 수 있어 조기 진단과 치료, 지속적인 관리가 중요하다. 국민건강보험공단 자료에 따르면 최근 국내 모야모야병 진단 건수의 증가추세는 뚜렷해졌다. 특히, 성인 모야모야병 환자 수는 2008년부터 2019년까지 11년간 97.6% 증가했다. 이러한 배경에서 분당서울대병원은 모야모야병으로 새롭게 진단된 국내 환자(소아·성인 포함)의 약 23%를 진료하고 있으며, 성인 모야모야병 수술 환자의 약 36%를 담당하는 등 진료 규모를 꾸준히 확대해 왔다. 나아가 지속적으로 증가하는 환자에게 체계적이고 정밀한 진료
전남대학교병원(병원장 정 신)이 빛고을전남대학교병원의 기능을 전면 재편해 진료·교육·공공보건의료를 통합하는 ‘지역 공공의료 허브센터’ 구축에 나선다. 중증·급성기 치료는 본원이 전담하고, 빛고을전남대병원은 예방·사후관리·돌봄 중심의 공공의료 거점으로 고도화해 지역사회 보건안전망을 강화한다는 구상이다. 전남대병원은 지난해 11월 보건복지부로부터 류마티스 및 퇴행성 관절염 공공전문진료센터의 본원 기능 이전 승인을 받았으며, 같은 해 12월에는 교육부로부터 빛고을전남대병원 임상교육훈련센터 구축사업 계획 변경을 승인받았다. 이에 따라 오는 3월부터 해당 공공전문진료센터를 본원으로 이전·재배치할 예정이다. 이번 기능 조정으로 고난이도 수술과 중증·급성기 치료는 본원이 맡고, 빛고을전남대병원은 노년내과 등을 중심으로 예방적 검진과 만성질환 관리, 재활·돌봄 기능을 담당하게 된다. 전남대병원은 이를 통해 진료 예약부터 치료, 사후 관리까지 단절 없는 ‘전주기적 맞춤형 의료체계’를 구축한다는 방침이다. 기능 이전 이후 빛고을전남대병원은 진료 기능을 넘어 진료·교육·공공보건의료를 아우르는 지역 공공의료 허브센터로 역할을 확대한다. 류마티스·퇴행성 질환의 중장기 관리와 함께