
분당서울대병원 비뇨의학과는 기존 초음파보다 3배 더 높은 해상도의 실시간 영상을 통해 전립선 종양 평가가 가능한 마이크로 초음파 장비를 국내 최초로 도입했다고 밝혔다.
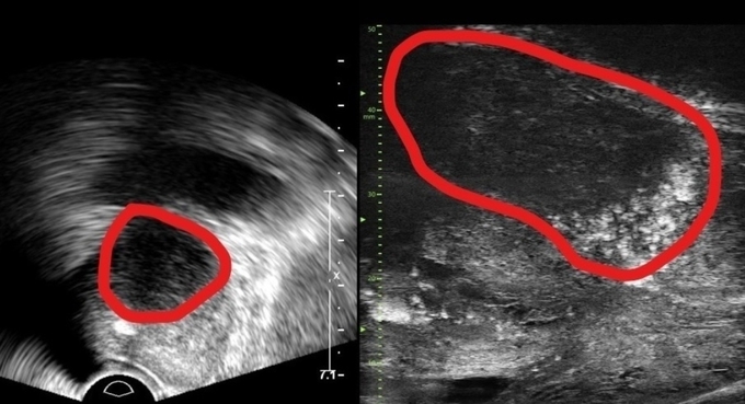
29MHz 마이크로 초음파를 사용하는 이 장비는 전립선과 주변의 해부학적 구조를 선명히 표시하고 표적 조직검사를 유도한다. 의심 영역을 실시간으로 확인하면서 전립선 조직의 미세한 변화와 병변을 식별하고 조직검사 채취를 위한 바늘을 정확한 위치에 삽입할 수 있다는 장점이 있다.
또한, 전립선 암 진단을 위한 초음파 검사 가이드인 PRI-MUS(Prostate Risk Identification Using Micro-Ultrasound) 위험도 식별 시스템과 연계돼있어 전립선암 병변의 악성 가능성 평가는 물론, 어느 부분에서 조직을 채취해야 하는지 정확히 판단할 수 있게 한다. PRI-MUS는 초음파 상 병변의 모양이나 크기를 자동으로 판단해 병변의 악성도를 1~5단계(높을수록 위험)로 분류하기 때문에 불필요한 조직검사를 줄이면서도 암을 놓치지 않게 돕는다.
기존의 경직장 초음파는 해상도가 낮아 전립선 종양, 특히 작은 암 병변을 감지하는 데 한계가 있었다. 하지만 마이크로 초음파의 높은 해상도와 실시간 영상의 시각화는 자기공명영상(MRI)으로 발견할 수 없는 전립선암을 찾을 때도 충분히 기여할 것으로 기대하고 있다. MRI 검사 보다 환자의 신체적, 심리적, 경제적 부담도 적을 수밖에 없다.
분당서울대병원 홍성규 비뇨의학과장은 “기존 초음파 대비 3배 더 향상된 고해상도 영상과 정밀 표적 조직검사는 전립선암 진단의 새로운 패러다임을 제시할 것”이라며 “효율적이고 정확한 진단과 치료를 가능하게 해 불필요한 검사와 환자의 불안감도 훨씬 줄여 줄 것으로 기대한다”고 말했다.














